Benign Breast Diseases

img

Pain in the Breast

Breast pain, or mastalgia, is a common condition that can affect women of all ages. It can be cyclic, linked to the menstrual cycle, or non-cyclic, unrelated to hormonal changes. Causes range from hormonal fluctuations, fibrocystic breast changes, and stress to more serious conditions like infections or, rarely, breast cancer. Symptoms can include tenderness, sharp pain, or a dull ache. Diagnosis often involves a physical exam, imaging, and sometimes biopsy to rule out serious conditions. Treatment varies based on the cause.

Nipple Discharge

Nipple discharge is the release of fluid from one or both nipples, which can vary in color and consistency. It can be caused by hormonal changes, infections, benign growths like papillomas, or more serious conditions like breast cancer. While often benign, especially if it occurs in both breasts, persistent or bloody discharge warrants medical evaluation. Diagnosis typically involves a physical exam, imaging, and sometimes lab tests of the discharge. Treatment depends on the underlying cause and may include medication or surgery.

img
img

Breast Infection

Breast infection, or mastitis, is an inflammation typically occurring in breastfeeding women due to blocked milk ducts or bacterial entry through nipple cracks. Symptoms include breast pain, swelling, redness, warmth, and fever. Diagnosis is based on physical examination and sometimes imaging. Treatment involves antibiotics, pain relief, and continued breastfeeding or pumping to clear the infection. In severe cases, abscess formation may require drainage. Prompt treatment is essential to prevent complications and ensure the well-being of both mother and child.

Lactation Breast Ailments

Lactation breast ailments include conditions like mastitis, clogged milk ducts, and nipple pain or damage. Mastitis is an infection causing breast pain, redness, and flu-like symptoms, treated with antibiotics and continued breastfeeding. Clogged ducts result in tender, lumpy areas, relieved by frequent feeding and massage. Nipple pain, often from improper latching, can lead to cracking and infections, addressed by correcting the latch and using soothing treatments. Prompt attention to these issues ensures effective breastfeeding and maternal comfort.

img
img

Fibroadenoma Treatment

Fibroadenoma treatment typically involves monitoring through regular check-ups and imaging, as these benign breast tumors often do not require intervention. If the fibroadenoma is large, painful, or causing anxiety, options include surgical removal via lumpectomy or minimally invasive procedures like cryoablation, which uses extreme cold to destroy the tissue. Treatment decisions depend on the size, growth rate, and symptoms, as well as patient preference. Regular follow-up ensures any changes are detected early, maintaining breast health.

Breast Cyst

A breast cyst is a fluid-filled sac within the breast, common and usually benign. They can vary in size and may be tender or painful, particularly before menstruation. Diagnosis typically involves a physical exam, ultrasound, or mammogram. Fine-needle aspiration can confirm the diagnosis and relieve symptoms by draining the fluid. Treatment is generally unnecessary unless the cyst is large or symptomatic. Regular monitoring ensures any changes are addressed promptly, providing reassurance and maintaining breast health.

img
img

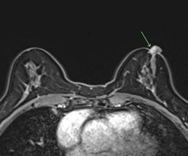
Nipple Adenoma & Other Diseases

Nipple adenoma is a rare, benign tumor of the nipple, presenting as a lump or discharge. It can mimic more serious conditions like Paget's disease, necessitating biopsy for accurate diagnosis. Other breast diseases include fibrocystic changes, characterized by lumpy, tender breasts; mastitis, an infection causing pain and redness; and breast cancer, marked by persistent lumps, skin changes, or unusual discharge. Early detection through self-exams, imaging, and medical evaluation is crucial for effective treatment and management of these conditions.